Validation Data

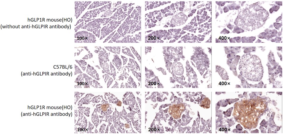
Figure 1. Analysis of hGLP1R expression by IHC. Pancreata from wild-type and hGLP1R mice (HO) were stained using an antibody specific for human GLP1R
| Synonyms | 99571 |
| NCBI ID | Humanized |
| MGI ID | GLP1R |
| Ensembl ID | C57BL/6 |
| Human Orthologs | Humanized |

Figure 1. Analysis of hGLP1R expression by IHC. Pancreata from wild-type and hGLP1R mice (HO) were stained using an antibody specific for human GLP1R